

This patient had severe upper and lower crowding with impacted cuspids.


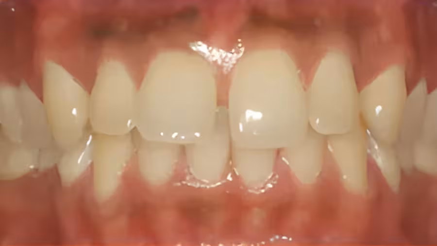
This patient had severe upper and lower crowding corrected to a well-aligned arch.


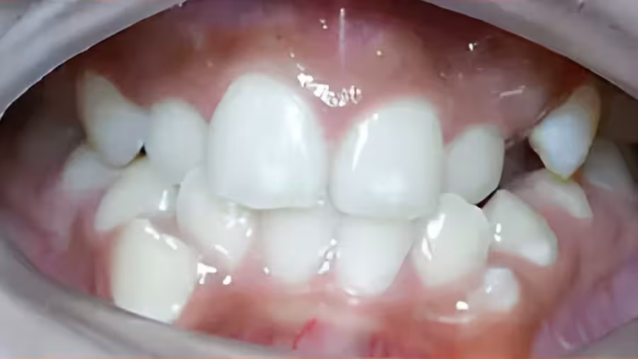
This patient had severe overlap of the upper front teeth.


This patient had a deep overbite with upper and lower crowding corrected to proper alignment.


This patient’s front teeth open bite was due to a thumb sucking habit.


This patient’s spacing problem in the upper jaw was treated with Invisalign.


This patient had cross bite, mid-line discrepancy, in addition to a deep over bite.


This patient had an underbite where the upper teeth were behind the lower teeth.


A 7 year old with severe upper and lower crowding, multiple impacted teeth. We expanded upper and lower arches and made room for all permanent teeth and impacted teeth eruption.


This patient had lower anterior crowding that was corrected to a well-aligned lower arch.


A 13 year old with severe upper and lower crowding who did not want to pull any permanent teeth to straighten her teeth.


This patient had moderate upper and lower crowding that was corrected to a proper bite and alignment.


This patient had an anterior open bite with spacing (midline diastema) that was treated with braces.


This patient had severe upper and lower crowding that was corrected to a straight and balanced smile.
These photos are actual patients of Rafati Orthodontics. Results may vary in individual cases.
